KORONARE HERZKRANKHEIT (KHK) UND HERZMUSKELERKRANKUNGEN
Insgesamt sind Herz-Kreislauf-Erkrankungen für zwei Drittel aller Todesfälle in Deutschland verantwortlich und somit weiterhin die Todesursache Nummer 1. Bei der koronaren Herzkrankheit (KHK) kann es durch eine zunehmende Verengung (Stenose) der Herzkranzgefäße zu einer Minderversorgung und zu einem Gewebstod des Herzmuskels (Infarkt) kommen. Daneben gibt es aber eine Vielzahl weiterer Herzerkrankungen, wie z.B. Herzmuskelerkrankungen (Kardiomyopathien), Herzklappenfehler und Herzmuskelentzündungen (Myokarditis). Allen ist gemeinsam, dass eine frühe Erkennung wichtig ist, um rasch die Ursache zu behandeln und möglichst viel gesundes Herzgewebe zu erhalten. Hier ist die Kardio-MRT von großer Bedeutung.
KARDIO MRT
Mit der Kernspintomographie des Herzens können Erkrankungen des Herzmuskels und der Herzkranzgefäße verlässlich ausgeschlossen werden. Die mit der MRT erzeugten Bilder der Herzanatomie und – Bewegung zeichnen sich durch eine hohe Auflösung und einen hohen Kontrast aus. Der Unterschied zwischen den Geweben kann durch Kontrastmittelgabe noch verstärkt werden. Nach einem Herzinfarkt können wir so deutlich genauer als mit anderen Methoden gesundes von infarziertem Herzmuskelgewebe unterscheiden (Bild 1) und wichtige Informationen vor einer geplanten Dilatation, einem Stenting oder einerBypass-Operation gewinnen.
Eine Stärke der MRT ist die funktionelle Bildgebung mit der nicht nur Aussagen über „das Aussehen“ des Herzens, sondern auch über dessen Funktion gemacht werden können. Bei der Gefäßbeurteilung kann somit nicht nur eine eventuell vorhandene pathologische Verengung des Gefäßes sondern die Relevanz der Verengung anhand des zeitlichen Verlaufs des Blutdurchflusses oder möglicher vorhandener Umgehungskreisläufe beurteilt werden.
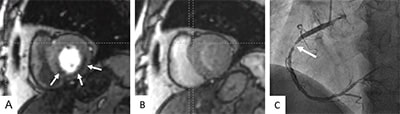
Bei der sogenannten „Stress MRT“ wird die Durchblutung des Herzmuskels unter pharmakologischer Belastung mittels Adenosin betrachtet. Durchblutungsstörungen können Hinweis auf relevante Einengungen der Herzkranzgefäße geben (Bild 2).
UNTERSUCHUNGS-VORBEREITUNG UND -ABLAUF
Die Untersuchung wird an unserem modernen 1,5 Tesla Kernspintomographen durchgeführt und dauert je nach Fragestellung etwa 30-45 Minuten. Sie liegen in bequemer Rückenlage. Während der Untersuchung wird für die Durchblutungsmessung ein MRT-Kontrastmittel gespritzt. Um die während der Aufnahmen auftretenden lauten Geräusche zu unterdrücken, werden Sie mit einem Kopfhörer ausgestattet werden. Über diesen ist jederzeit eine Kontaktaufnahme mit dem Personal möglich. Zusätzlich erhalten Sie einen Handschalter, durch den sie im Notfall jederzeit die Untersuchung unterbrechen können.
Im Anschluss werten wir die Bilder aus und besprechen mit Ihnen das Untersuchungsergebnis.
Unsere Praxis verfügt über eine große Erfahrung in der kardialen Schnittbilddiagnostik mit allein mehr als 1000 durchgeführten Untersuchungen in der Stress MRT. Herr PD Dr. Pache ist Stufe 3-Ausbilder für kardiale CT- und MRT der Deutschen Röntgengesellschaft.
Bild 1. MRT des Herzens – dynamische Darstellung.
Im linken Bild zeigt die dynamische Darstellung eine Wandbewegungsstörung der linken Herzkammer in den infero-lateralen Wandabschnitten. Als Ursache zeigt sich nach Kontrastmittelgabe eine bandförmige Kontrastmittelanreicherung (Late Enhancement) an der inferolateralen Wand als Ausdruck eines stattgehabten Myokardinfarkts (Narbengewebe).
In der dynamischen Kontrastmitteldarstellung zeigt sich ein Kontrastierungsunterschied (Perfusionsdefizit) zwischen Adenosin-Stressbelastung (Pfeil in A) gegenüber der Ruheuntersuchung (B) in der Hinterwand der linken Kammer als Hinweis auf das Vorliegen einer Stenose bedingten Minderversorgung (Ischämie). Der invasive Herzkatheter bestätigte die relevante Stenose der rechten Herzkranzarterie (Pfeil in C).